Case Studies

Case Of Porcelain Veneer ; Smile Transformation...
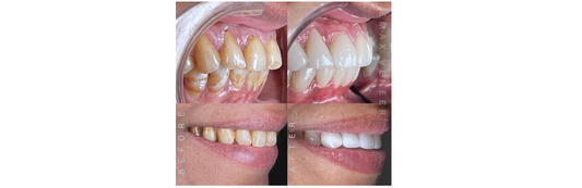
Dental fluorosis can make people feel embarrassed about their smiles. But thanks to modern, minimally invasive treatments like ceramic veneers, we can help patients regain their confidence and love their...
Case Of Porcelain Veneer ; Smile Transformation...
Dental fluorosis can make people feel embarrassed about their smiles. But thanks to modern, minimally invasive treatments like ceramic veneers, we can help patients regain their confidence and love their...