
Conservative Endodontic Approach: A Case of Vital Pulp Therapy
Share
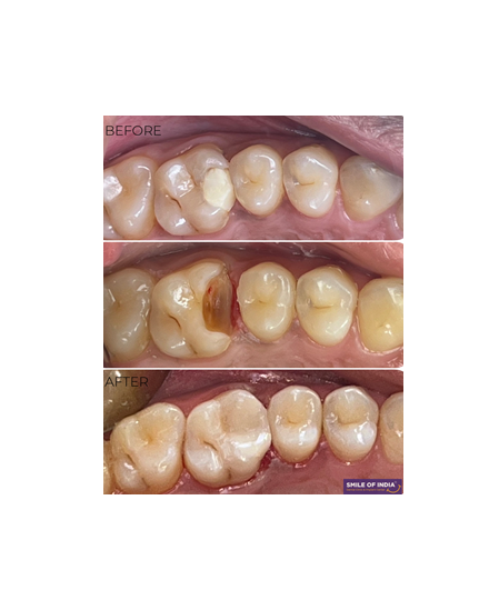
Patient's Age: 42 years
Concern: Complaints of sensitivity and occasional pain in his upper left molar, especially when consuming cold or sweet foods.
Our Diagnosis
Upon examination and X-ray imaging, we identified defective old filling and deep dental decay (a cavity) underneath the filling in the upper left molar. The decay had progressed close to the tooth's nerve but had not yet caused irreversible damage.
Treatment Plan
To preserve the tooth and prevent further complications, we recommended a replacement of old composite filling. This tooth-colored material not only restores function but also blends seamlessly with natural teeth
Procedure Steps
Anaesthesia: Administered local anaesthesia to ensure a pain-free experience.
Decay Removal: Carefully removed the decayed portion of the tooth, ensuring the nerve remained unharmed, however on removing the caries we found that the caries has already approached the pulp/nerve.
MTA Placement : On the exposed side we put a protective base of MTA putty.
Tooth Preparation: Applied a special gel to clean and prepare the cavity for bonding.
Filling Application: Layered the composite resin into the cavity, over the MTA, hardening each layer with a curing light.
Shaping and Polishing: Shaped the filling to match the natural contours of the tooth and polished it for a smooth finish
Outcome
The procedure was completed in a single visit. The Patient reported immediate relief from sensitivity and was pleased with the natural appearance of the filling.
Eating and Drinking: Avoid consuming hot foods or beverages until the anaesthesia wears off completely.
Oral Hygiene: Continue brushing twice daily with fluoride toothpaste and flossing regularly.
Monitoring: Some sensitivity to temperature may occur initially but should subside within a few days.
Follow-Up: Schedule regular dental check-ups every six months to monitor the filling and overall oral health
Benefits of Composite Fillings
Aesthetic Appeal: Matches the natural tooth color, providing a seamless look.
Conservative Approach: Requires less removal of healthy tooth structure compared to other filling materials.
Durability: With proper care, composite fillings can last 5–10 years or more .
Bonding Strength: Adheres well to the tooth, reducing the risk of leakage and further decay.